CARDIOLOGY AND VASCULAR
GERIATRIC MEDICINE
HAEMATOLOGY
PHARMACOLOGY
SURGERY
Reperfusion therapy for acute ischaemic stroke
Intravenous thrombolysis therapy and ongoing clinical trials aimed at expanding the time frame for this particular therapy are reviewed in this article
May 1, 2012
-
Approved therapies for acute stroke include intravenous (IV) thrombolysis therapy with alteplase (recombinant tissue plasminogen activator [rtPA]) given within 4.5 hours, aspirin therapy within 48 hours; management in an acute stroke unit and hemicraniectomy in cases of malignant infarction.
This article reviews the evidence for intravenous thrombolysis therapy, ongoing clinical trials aimed at expanding the narrow time window for thrombolysis therapy and clinical trials trying to identify subpopulations of stroke patients who may benefit from endovascular intervention.
Intravenous thrombolysis
Intravenous alteplase is the only thrombolytic agent with a European or American licence for the treatment of acute ischaemic stroke (AIS). Alteplase is a thrombolytic glycoprotein, produced by recombinant DNA techniques, which is administered by IV infusion.1 The National Institute of Neurological Disorders and Stroke (NINDS) trial was a landmark prospective, randomised, double-blind, placebo-controlled, multi-centre trial published in 1995 that established the efficacy of alteplase in AIS.2
This study demonstrated that patients treated with alteplase within three hours of ischaemic stroke onset were at least 30% more likely to have minimal or no disability at three months compared to patients treated with placebo.
However, patients treated with alteplase had an increased risk of symptomatic haemorrhage (ICH); there was no significant difference in mortality between the two groups. Alteplase therapy for treatment of AIS was recommended by the Food and Drug Administration (FDA) in 1995 and by the European Medicines Agency (EMA) in 2002.
ECASS III was the next landmark thrombolytic trial that demonstrated alteplase remains safe and effective when administered to AIS patients within an extended 3-4.5 hour time window after stroke onset. ECASS III was a prospective, randomised, double-blind, parallel-group, multi-centre, international trial published in 2008.3
This trial demonstrated that patients treated with alteplase were significantly more likely to have a favourable outcome (mRS score of 0 or 1) than those treated with placebo (52.4% versus 45.4%, OR 1.34, 95% C/I 1.02-1.76). Once again the rate of symptomatic ICH was significantly greater in patients treated with alteplase (2.4% versus 0.4%, p = 0.008).
However, this was similar to the rates observed in other thrombolysis trials of patients treated with alteplase within three hours, including the NINDS trial. There was no difference in all-cause mortality between the two groups.
Following publication of this trial several worldwide guidelines, including AHA/ESO/CSS, recommended use of rtPA for AIS up to 4.5 hours from symptom onset, although not licensed.4,5,6 A pooled analysis of all randomised controlled trials of alteplase in AIS confirmed benefit from IV alteplase therapy when treated up to 4.5 hours.7
Data from large-scale patient registries (SITS-ISTR) have confirmed that these RCT results can be extended into clinical practice providing ample evidence of the efficacy and effectiveness of alteplase therapy given within 4.5 hours of symptom onset.8 To maximise benefit every effort should be made to shorten delay to treatment initiation.
On November 4, 2011, alteplase gained approval for use in acute stroke up to 4.5 hours in 15 European countries, including Ireland, through a mutual recognition procedure.
The problem with intravenous thrombolysis
Published rates for patients actually receiving acute thrombolytic therapy are very low in the US and in Europe (1-3%).9,10 Despite earnest attempts to increase the use of IV thrombolysis, overall usage remains very low, even with the expansion of the time window for treatment up to 4.5 hours.
Common reasons for exclusion include minor symptoms, rapidly resolving signs and uncertain time of stroke onset. For example, patients who go to sleep healthy and wake up with symptoms beyond the recommended time window (wake-up stroke) are not eligible for treatment based on current restrictions.
A recent population-based study identified 273 (14.3%) of 1,854 ischaemic strokes presenting to an emergency department as wake-up strokes.11 It has been estimated that up to 18% of patients do not receive IV tPA when they are in fact eligible.12
Development of national stroke strategies and public awareness campaigns have helped increase the number of AIS patients treated with IV thrombolysis in the UK. The National Sentinel Stroke Audit data in 2008 showed only 1% of all stroke patients received thrombolysis.13
This figure has increased to 8% in the most recent Stroke Improvement National Audit Programme (SINAP) comprehensive report published in 2012.14 Reorganisation and centralisation of acute stroke services have also resulted in boosting the proportion of rtPA-treated patients. In 2006, 34 hospitals in London received blue light ambulances carrying patients who had suffered an acute stroke. London has now reorganised the earliest phase of acute stroke care around eight ‘stroke hubs’ called hyperacute stroke units (HASUs). Thrombolysis rates in London have increased from 3.5% in Feb-June 2009 to 14% in Feb-June 2010.15
Despite these measures a large proportion of acute stroke patients do not receive thrombolytic therapy and clinical trials are underway attempting to expand the therapeutic time window.
Extending window of time for intravenous alteplase therapy
Two European trials, the European Cooperative Acute Stroke Study (ECASS) and ECASS II, investigated use of IV rtPA in a time window of up to six hours but failed to show the efficacy of thrombolytic therapy, as defined by each trial.16,17 IST-3 is an international, multi-centre, prospective, randomised, open, blinded end point (PROBE) trial of intravenous rtPA in AIS.18
Inclusion criteria were straightforward – patients were required to have baseline imaging to exclude haemorrhage or stroke mimics and treatment should be started within six hours.
There is much excitement among the stroke community as we may soon have evidence for benefit of intravenous thrombolysis in an older age group (patients > 80 years were not included in previous thrombolysis trials) and in an extended time window (0-6 hours). The results were due to be presented at the European Stroke Conference in Lisbon in May 2012.
Extending window of time with alternative thrombolytic agents
Currently, alteplase is the only thrombolytic agent licensed for treatment of AIS. Desmoteplase is a novel, highly fibrin-specific recombinant tissue plasminogen activator that occurs naturally in the vampire bat (Desmondus rotundus).
Its use for the treatment of AIS in an extended time window (three to nine hours) is currently under evaluation. Although initial trials (DIAS and DEDAS) demonstrated safety and a high recanalisation rate, as identified by MRA, DIAS 2 failed to show any clinical benefit over placebo, despite a low rate of symptomatic haemorrhage.19,20,21
These trials used identification of at least a 20% MRI perfusion-diffusion (or CT perfusion) mismatch as inclusion criterion. It is now felt that these early trial designs had forged too far ahead of imaging science as many technical parameters of perfusion-diffusion mismatch have yet to be established. Desmoteplase is currently being evaluated in a phase III clinical trial, DIAS 3/4 (depending on country site), to assess efficacy and safety in an extended time window (three to nine hours).22
Interestingly the trial design now uses identification of a large vessel occlusion with non-invasive vessel imaging (MRA/CTA) as an entry criterion, rather than any identified perfusion-diffusion mismatch, although this parameter will still be evaluated in a predefined imaging subgroup analysis.
More recently, tenecteplase (TNK), a genetically engineered mutant tissue plasminogen activator, has been evaluated for use as a thrombolytic agent in AIS. A phase IIB trial randomly assigned 75 patients to either alteplase or tenecteplase within six hours after the onset of ischaemic stroke.23
Eligibility criteria included a perfusion lesion of at least 20% greater than infarct core on CT perfusion imaging at baseline and an associated vessel occlusion on CT angiography. TNK was associated with significantly better reperfusion and clinical outcomes than alteplase, representing a promising area for further research.
The mismatch concept and extended time window
Strictly time-based thrombolysis may not be the optimal treatment for any individual patient and there has been much research trying to substitute the time clock with attempts to identify the ischaemic penumbra as this is felt to more accurately reflect the underlying pathophysiology.
Strategies evoke the mismatch concept to identify tissue at risk. Both MRI (perfusion-diffusion) and CT perfusion (mean transit time-cerebral blood volume) have been used to identify the ischaemic penumbra. EPITHET24 (alteplase, three to six hours), DIAS,19 DEDAS20 and DIAS 221 (desmoteplase, three to nine hours) were all randomised clinical trials using MRI or CT perfusion to identify ischaemic penumbra and guide thrombolysis decisions.
Although clinical end points were negative a meta-analysis (also including the open-label multi-centre prospective trial DEFUSE) showed favourable outcome was more frequent with reperfusion and there was a higher degree of reperfusion after thrombolysis in those patients with a mismatch profile, thus establishing a ‘proof of principle’.
However, problems persist including the absence of a gold standard for the mismatch definition, which imparts on treatment effect. Further larger RCTs are needed for further evaluation of MRI-based thrombolysis as a means to identify tissue at risk rather than an arbitrary time window.
Extending the Time for Thrombolysis in Emergency Neurological Deficits (EXTEND) is an ongoing clinical trial using MRI perfusion-diffusion mismatch to identify patients suitable for IV rtPA within a nine-hour time window.25 MRI mismatch will be identified using an automated, standardised software solution.
ECASS 4 is a proposed European multi-centre trial that will adopt the EXTEND protocol.26 WAKE-UP is an upcoming European, randomised, placebo-controlled clinical trial that will use MRI diffusion-FLAIR mismatch (as a surrogate to identify patients < 4.5 hours from stroke symptom onset) to prove the efficacy and safety of MRI-based thrombolysis in patients with unknown time of symptom onset.27
The optimal role of multimodal imaging in acute stroke has not yet been established. The European Stroke Organisation (ESO) 2008 guidelines state: “The use of multimodal imaging criteria may be useful for patient selection (class III, level C)... Available data on mismatch, as defined by multimodal MRI or CT, are too limited to guide thrombolysis in routine practice.”28
Intra-arterial thrombolysis
Recanalisation of occluded arteries leading to reperfusion results in better outcomes. Studies have shown that the success rates for achieving vessel recanalisation vary with occlusion location, with more proximal occlusions in the distal internal carotid artery (ICA) and the proximal segment (M1) of the middle cerebral artery (MCA) being more resistant to thrombolytics in comparison to occlusions at more distal MCA divisions and cortical branches.29,30,31 Alternatives to IV tPA that can achieve reperfusion of large vessels are desperately needed.
PROACT 1 and II are the only randomised studies that have examined the safety and efficacy of IA thrombolysis in patients with AIS.32,33 In the PROACT II study, prourokinase was given only proximal to the clot and mechanical clot disruption with the guide-wire was not allowed. Recanalisation was reported in 66% of the treatment group, with 40% favourable neurological outcome (mRS ≤ 2) and 25% 90-day mortality. These figures remain the standard for new devices and technologies a decade later.
Mechanical clot retrieval
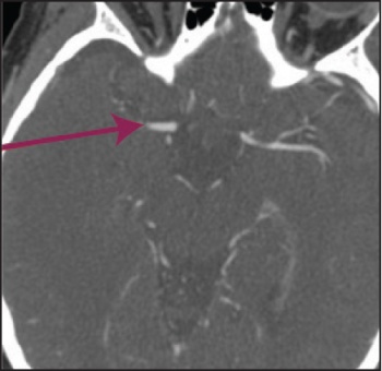
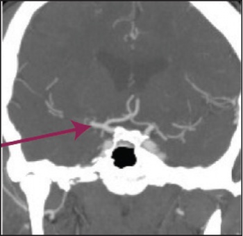
See Figures 1(i)-3(ii) for images of a successful endovascular therapy case.
Figure 1 (i): this and Figure 1(ii) show axial and coronal CT angiogram identifying proximal right MCA (M1) occlusion(click to enlarge)
