DENTAL HEALTH

The importance of oral health in children

The role of GPs and practice nurses in oral health literacy among patients and their parents cannot be overemphasised

Ms Anne O’Connell, Consultant, Tallaght Hospital, Dublin

March 1, 2012

Article
Similar articles
  • General practitioners, public health nurses and paediatricians are in an ideal position to include oral and dental health advice within the realm of nutrition and general health. They are the trusted professionals with frequent access to children and parents throughout childhood. Unfortunately, many Irish children access dental care on an emergency basis following trauma, pain or infection related to teeth. Prevention of disease as well as early recognition of a disease process can minimise intervention, alleviate pain, reduce treatment needs and reduce anxiety for parents.

    The importance of maintaining an intact primary dentition must be recognised in establishing a positive self-image for a child. The ability to speak and smile normally as well as being able to chew and swallow efficiently is essential to a child. The primary teeth are necessary to guide the permanent dentition into an appropriate position. Early loss of primary teeth can have far-reaching implications for the child and may necessitate future complex and expensive dental treatment.

    Tooth eruption

    The eruption of primary teeth usually occurs in a pre-determined sequence and is bilaterally symmetrical within the dental arches, starting at about six months of age. Teething has been associated with mild to moderate discomfort, irritability, increased drooling, red cheeks and a desire to bite and chew on things, and sometimes loose bowel movements. 

    It has been proposed that these systemic symptoms are a result of subclinical viral infection (herpes simplex). Systemic effects of teething are self-limiting and disappear once the tooth is visible in the oral cavity. Various therapies, including numbing gels, homeopathic potions and  iced teething rings have been proposed, but none have scientifically proven to be effective in managing symptoms.

    Some children are born with a tooth (natal tooth, see Figure 1) or have a tooth erupt in the first 30 days after birth (neonatal) which should only be removed if very mobile. These teeth are part of the normal complement of primary teeth and will remain in situ until the permanent successor is ready to erupt. Consultation should be also be sought if a child has no primary teeth by his/her first birthday, or if the shape or colour of the teeth appears abnormal. All primary teeth are replaced sequentially by permanent teeth from age six through to 12 years of age.

    Figure 1. Natal tooth in two-day old infant
    Figure 1. Natal tooth in two-day old infant(click to enlarge)

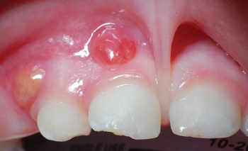
    Dental trauma

    (see Figure 2 and 3)

    Accidents involving the mouth and teeth are very common. In an Irish population, the prevalence of dental trauma in the primary dentition is reported to be 25.6%. Dental trauma typically occurs in a preschool child by falling in the home. If a primary tooth is knocked out (avulsed), it should not be replaced in the socket, as damage to the developing permanent tooth is likely.

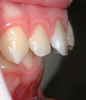
    The prevalence of trauma to permanent teeth in Ireland is reported to be 6% at age eight to 20% by age 12 years. The maxillary central incisors are injured most frequently. All displaced teeth require dental evaluation and the treatment required varies with the nature and severity of the damage to the teeth and the supporting structures. 

    Permanent teeth that are displaced or avulsed from the socket should be repositioned as a matter of urgency, and monitored over time by a dentist. The tooth should be located, held by the crown (not the root), washed gently with clean water to remove debris and then inserted into the socket. Replantation of the tooth will require pressure to displace the blood in the socket to return the tooth or teeth to their correct position. There is a direct relationship between the time the tooth is out of the socket and successful prognosis for that tooth (very poor prognosis if tooth is left dry and/or out of the mouth for more than 60 minutes). If reinsertion is not possible, the tooth should be stored in milk and brought with the child to a dentist immediately. Many teeth that are reimplanted will be able to be maintained over time. 

    Mandatory use of protective mouthguards/headgear in organised sport has greatly reduced the incidence of sports-related injuries in children. Custom-made mouthguards are more comfortable to wear and provide better protection than the ‘boil and bite’ protectors available in the sports shops.  These mouthguards should be replaced to keep pace with continued growth.

    Figure 2. Trauma to primary teeth with infection
    Figure 2. Trauma to primary teeth with infection(click to enlarge)

    Figure 3. Trauma to permanent teeth
    Figure 3. Trauma to permanent teeth(click to enlarge)

    Caries 

    Caries (decay) is the most common infectious disease of childhood, occurring in 37-55% of Irish five-year-old children and affecting more than 70% of those aged 15 years.  The mean number of teeth affected by this disease ranges between 1-2.9 in five-year-old children. Oral infection due to caries remains the most common reason that children seek dental care, and often the disease is so advanced that extractions are the only option for treatment.

    The prevalence and severity of caries varies considerably across Ireland. In addition to dietary factors, prevalence and severity of caries is related to social/educational background, fluoridation status, having a medical card, oral hygiene practices and other risk factors. Dental caries is endemic in specific populations and individuals within the population, and tends to co-exist with many other diseases related to diet such as obesity, diabetes and heart disease.  A risk assessment tool has recently been introduced for use in Irish children. 

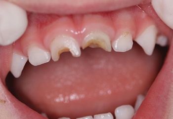
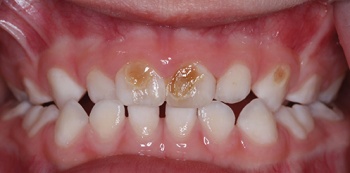
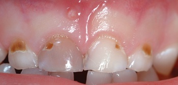
    Early childhood caries (ECC) is the correct term to describe dental decay in infants and toddlers and replaces the terms previously used eg. nursing caries, or baby bottle tooth decay. This type of caries produces a specific pattern of damage to teeth not usually affected by decay and is often associated with prolonged and frequent feeding, particularly at nighttime (see Figures 4-7).

    The infectious agents are gram positive bacteria, mutans Streptococci, which constitute part of the normal flora in the oral cavity. Transmission is typically from the primary caregiver, usually the mother, to the infant through saliva by kissing, pre-tasting the infants’ food, sucking the soother to clean, etc. Medical practitioners should be aware that untreated decay in their pregnant/post-partum patients should be treated to prevent or reduce the risk of this transmission.

    Sucrose and starchy foods can be broken down by the bacteria to produce acids that demineralise the enamel of the teeth. Both the sugar content and the frequency of ingestion contribute to the initiation of decay. In infants, the disease is often related to extended use of a bottle containing fluids other than formula, milk or water for night-time feeding over a prolonged period. The risk of disease is increased during sleep as saliva production decreases at night, so the teeth are not protected and remain immersed in the sugary/acidic fluid for an extended period of time.  Prolonged frequent at-will breastfeeding can also cause the same pattern by the same mechanism. Continuous snacking is detrimental to oral health and may contribute to the increase in obesity in our children.

    Teeth usually affected are the maxillary incisors and upper and lower posterior teeth affected in more severe disease. Demineralisation is detected most commonly as a white line along the gum margins on the teeth, but notching of the upper incisors is also indicative of caries. 

    Classically, the lower anterior teeth are protected by the tongue and proximity to the submandibular/sublingual salivary glands. The general practitioner could be invaluable in preventing this type of early childhood caries by counselling the parents on feeding practices in the first year of life. Recognition of this pattern of destruction by lifting the child’s lip during a general health exam would reveal disease and initiate early referral to a dentist so that preventive measures can be taken to stop progression of the disease.

    Prevention is mainly by educating the parents in effective home care, including assisting with toothbrushing in children under seven years of age and supervising in older children. In a recent study of young Irish children, more than half of the children brushed their own teeth without parental supervision from an average age of 3.9 years.1 Effective toothbrushing is a complex procedure for a child and parents should be reminded that young children cannot be expected to apply the appropriate quantity of toothpaste or remove plaque effectively. 

    Recommendations to prevent early childhood caries:  

    • Children should never sleep with a bottle containing any liquid other than water once teeth erupt
    • Avoid bottle-propping during naps and reduce the frequency of night-time breast or bottle-feeding
    • The bottle should be discontinued during the day as soon as the child has mastered a cup, usually between 12-18 months. The only liquid in a bottle/sippy cup should be milk or water
    • Parents should improve their own oral hygiene to reduce the risk of transmission of bacterial infection during the  post-natal period
    • Parents should assist/supervise brushing their child’s teeth at least once a day as soon as they erupt using a small-headed toothbrush. Remember that children cannot brush effectively until age seven and upwards
    • Toothpaste should not be used in children under two years of age unless instructed to by a dentist
    • Avoid drinks or fruit juices high in sucrose content where possible and reduce the frequency of their use to one to two times a day at mealtimes
    • Avoid the use of sweetened foods as rewards, and reduce between-meal snacking.

    Figure 4. Anterior caries
    Figure 4. Anterior caries(click to enlarge)

    Figure 5. Anterior caries
    Figure 5. Anterior caries(click to enlarge)

    Figure 6. Anterior caries with infection
    Figure 6. Anterior caries with infection(click to enlarge)

    Figure 7. Posterior caries
    Figure 7. Posterior caries(click to enlarge)

    Fluoride

    Fluoride used topically is more effective than systemic administration in reducing the susceptibility of the tooth to decay. Daily use of a fluoridated toothpaste is beneficial from childhood through adulthood, and only toothpastes containing at least 1,000ppm fluoride have been shown to reduce decay. Fluoride should be avoided in children under two years of age as they are likely to swallow toothpaste. Parents should assist all young children with toothbrushing. 

    Water fluoridation has been used in Ireland since 1961 and has been very effective in improving the oral health of adults and children in Ireland. Although concern exists about the effect of fluoride in the water supply, scientific evidence from around the world indicates that human health is not adversely affected by water fluoridated to levels at one part per million or below. Many households are now using filtration for household water which may remove the protective fluoride. Dietary fluoride supplementation is not necessary for children living in Ireland, and should not be recommended even in exclusively breastfed babies.  

    Erosion

    Erosion is the loss of dental mineralised tissue without bacterial involvement. Erosion in primary teeth occurs in 47-52% of Irish five-year-olds and has been associated with low socio-economic status and frequency of fruit or carbonated drink consumption (see Figure 8). It can also occur where acids are generated by gastric reflux. Most commonly, erosion in children is related to excessive and frequent intake of juice and soft drinks including high-energy sports drinks and carbonated diet drinks. Fresh fruit juices, vinegar and acidic sweets can also contribute to tooth destruction. Erosion can be prevented by limiting the frequency of ingestion of these acidic beverages throughout the day. These fluids will not cause damage when taken with other foods during mealtimes.

    Figure 8. Erosion of anterior teeth due to drinking juice
    Figure 8. Erosion of anterior teeth due to drinking juice(click to enlarge)

    Malocclusion

    Normal craniofacial growth occurs in transverse, anteroposterior and vertical dimensions. Any interference with the co-ordination of skeletal, soft tissue and dentoalveolar growth can result in a malocclusion. Non-nutritive sucking habits, either with a pacifier or a digit, can modify growth if prolonged or vigorous (see Figure 9). Some dental malocclusions such as an increase in overjet (protruding upper incisors, see Figure 10) significantly increase the risk of dental trauma. Cessation of these habits should be encouraged before a detrimental influence occurs on the dentition. 

    Children with protruding maxillary incisors can be treated to position these teeth in a safer relationship. Any deviation from a normal facial appearance can have a negative  psychosocial impact. Premature loss of baby teeth due to trauma, caries or infection can create or complicate a developing malocclusion. Preservation of the teeth is essential for correct development of the dentition. If teeth have to be extracted early, interceptive orthodontic appliances can be used to minimise the detrimental effects.   

    Figure 9. Anterior open bite due to prolonged pacifier sucking
    Figure 9. Anterior open bite due to prolonged pacifier sucking(click to enlarge)

    Figure 10. Increased overjet
    Figure 10. Increased overjet(click to enlarge)

    Practice points

    Diet-related health messages can benefit oral as well as general health. Early childhood caries can be recognised by white/brown discoloration of maxillary teeth or breakdown of these teeth and referral to a dentist is essential to prevent progression of the disease.

    Parents should be advised to discontinue bottlefeeding by 12 months of age and children should never be allowed to sleep or nap with a bottle in their mouth. Parents should also be advised to brush a child’s teeth as soon as they erupt, introduce a fluoridated toothpaste after two years of age, and decrease the frequency of sucrose-containing snacks to reduce dental caries in childhood.

    Tooth erosion is prevalent and related to frequent use of juice/carbonated beverages. Any child with abnormal-looking teeth should be referred for a dental assessment as soon as it is noticed. Permanent teeth that are traumatised should be repositioned as a first-aid measure and referred onto a dentist for evaluation. Early loss of primary teeth can lead to space loss and malposition of permanent teeth, requiring orthodontic intervention. 

    The role of the GP and nurses in oral health literacy among their patients and their parents cannot be over-emphasised. 

    References

    1. Traumatic dental injuries and their association with malocclusion in the primary dentition of Irish Children. Norton E, O’Connell AC.  Dental Traumatology 2011 1-6
    2. North South Survey of Children Oral helath in Ireland 2002. Final Report 2006  www.dohc.ie /publications/oral_health.html (accessed 14 Nov 2011)
    3. Strategies to prevent dental caries in children and adolescents. http://ohsrc.ucc.ie/html/guidelines.html (accessed 14 Nov 2011)
    4. Topical Fluorides: guidance on the use of topical fluorides for caries prevention in children and adolescents in Ireland.  http://ohsrc.ucc.ie/html/guidelines.html (accessed 14 Nov 2011)
    5. Oral health of children born small for gestational age.O’Connell AC, O’Connell SM, O’Mullane E, Hoey HM. Ir Med J. 2010 Oct;103(9):275-8
    © Medmedia Publications/Forum, Journal of the ICGP 2012