RHEUMATOLOGY

IMMUNOLOGY

PHARMACOLOGY

Rheumatology: advances in diagnosis and treatment

Developments in rheumatology from 1800 until 2012

Dr Mark J Phelan, Consultant Rheumatologist, South Infirmary, Victoria University Hospital, Cork

July 1, 2012

Article
Similar articles
  • The practice of medicine is as ancient as humanity itself. The first illnesses, the first accidents, literally cried out for the first cures. In that distant age the world itself was a vast and threatening mystery. Protection could only be sought by means of superstition: the invocation and casting out of spirits, the performance of spells and rituals. Some rituals proved more efficacious and persisted. 

    The painter Renoir adapted his technique in later years to cope with deformities of inflammatory joint disease
    The painter Renoir adapted his technique in later years to cope with deformities of inflammatory joint disease(click to enlarge)

    RA nodules of the hands secondary to inflammatory joint disease
    RA nodules of the hands secondary to inflammatory joint disease(click to enlarge)

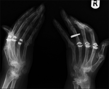
    X-ray clearly showing joint replacements of the MCP joints secondary to deformities of inflammatory joint disease
    X-ray clearly showing joint replacements of the MCP joints secondary to deformities of inflammatory joint disease(click to enlarge)

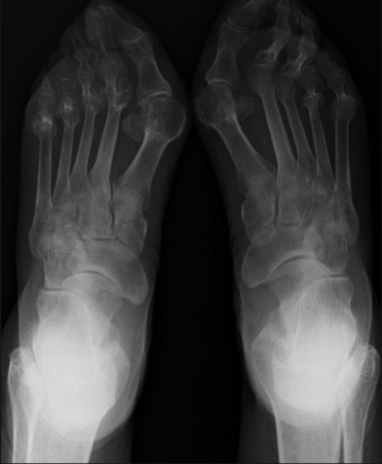
    Joint deformities of the feet secondary to inflammatory joint disease
    Joint deformities of the feet secondary to inflammatory joint disease(click to enlarge)

    Aetiology

    This was the beginning of medical lore. It was not until the birth of the scientific outlook in ancient Greece during the sixth century BC that medicine first took on a rational aspect. In the fourth century BC, the Greek physician Hippocrates developed a medical theory called humouralism, which held that four humours (liquids) coursing through the human body determined one’s temperament and state of health. He used the term rheuma, which literally means ‘flowing’, to describe an excess of the watery humour thought to flow down from the brain. 

    The words rheuma and catarrhos (‘flowing down’) were used interchangeably by ancient Greeks to describe a variety of illnesses, including joint problems. Therefore, many believe that the first modern development of knowledge of the specialty of rheumatology originates from Ancient Greece. 

    Whether the above is the true origin of modern rheumatology or not, much has changed over the last few centuries. The British physician, AB Garrod, whose practice was devoted to studying ‘articular affections’, introduced the term rheumatoid arthritis (RA – from the Greek arthron, meaning ‘joint’) in 1858 because, he insisted, the majority of patients said to have ‘rheumatic gout’ had an affliction that was related “neither to true gout or to true rheumatism”. 

    Although the British Ministry of Health officially adopted the name in 1922, RA remained a controversial term until the early 1940s when the American Rheumatism Association followed suit.

    Over the past 15 years, change and expansion of rheumatology knowledge and practice has continued expediently. Recently, a large body of scientific research has dealt with the background of autoimmune disease, the cause of many rheumatic disorders. Also, the field of osteoimmunology has emerged to further examine the interactions between the immune system, joints and bones. Epidemiological studies and medication trials are also being conducted. 

    Scientific research on biologics and clinical trials on monoclonal antibody therapies have added a new dimension to the medical treatment of arthritic disorders. In this article we focus on a number of areas in the medical specialty of rheumatology which have changed in the past 15 years, a period which incorporates the WHO Bone and Joint Decade which was formally launched on January 13, 2000, at the headquarters of the WHO in Switzerland. 

    Inflammatory arthritis

    The first known traces of arthritis date back at least as far as 4,500 BC, while there are texts dating back to 123 AD describing symptoms similar to RA and skeletal remains of Native Americans found in Tennessee having noted inflammatory arthritis changes. Despite this, the first recognised description of RA was in 1800 by the French physician Dr Augustin Jacob Landré-Beauvais (1772-1840), and the name ‘rheumatoid arthritis’ itself was not coined until 1859 by British rheumatologist Dr Alfred Baring Garrod. Since the 19th century much has changed in the knowledge and treatment of inflammatory arthritis. 

    In 1935, the emergence of gold salts were seen in the treatment of inflammatory arthritis and this was followed by:

    • Sulphalazine in the 1940s
    • Penicillamine in the 1950s
    • Methotrexate in the 1980s
    • Leflunomide in the 1990s
    • Anti-TNF therapy in the late 1990s.

    Serendipity dictated much of the treatment of inflammatory arthritis in the 20th century. For example, gold therapy was initially used in TB treatment and then found to be beneficial for inflammatory arthritis among patients with both conditions. 

    This has now changed and we are actively developing targeted therapies for inflammatory arthritis. Such has been the evolving area of inflammatory arthritis that treatment plans 20 years ago would look far different to treatment plans in this new millennium. As a consequence of these advances we are seeing fewer and fewer of the joint deformities which were pathopneumonic of inflammatory arthritis. The goal of remission is now being realised with targeted therapies. 

    Methotrexate

    Methotrexate has now become the gold standard first-line therapy in the management of inflammatory arthritis. It is given as a once-weekly regime, either orally or subcutaneously, with oral mode of administration being the preferred. 

    Starting regimes slightly vary between prescribing rheumatologists, however, a good guide is 10mg orally once weekly for six weeks and then titrated to 15mg orally once weekly if tolerated or required. Further titrations are dependent on clinical requirements and tolerance.

    Patients receiving methotrexate are also prescribed folic acid. Currently there is no clear consensus as to the most appropriate dose or regime, but many rheumatologists advise 5mg orally every day.

    Methotrexate should not be taken by men or women if they are trying to have a child as methotrexate is teratogenic. Rheumatologists advise patients to stay off methotrexate for three months and women intending to breastfeed to remain off methotrexate for the duration of breastfeeding. 

    Caution also needs to be taken when using methotrexate in renal impairment. It is contraindicated if the estimated glomerular filtration rate (EGFR) is less than 30mL/min. Likewise, caution is stressed in patients who consume alcohol. Drinking alcohol while using even low-dose methotrexate is discouraged because of the risk of hepatotoxicity. Abstinence would be the ideal situation, however, minimal intermittent alcohol consumption may be tolerated. There are alternative first-line agents to methotrexate in the treatment of inflammatory arthritis. These include leflunomide and sulphalazine, which is now used more so in gastroenterology, but their efficacy is not to the level of methotrexate.

    Biologic therapies

    Biologic therapies are a new class of drugs that have been used since 1998 and have been studied for almost 10 years. They are the first real targeted treatment to be developed in managing inflammatory arthritis. A ‘biologic’ therapy copies the effects of substances naturally made by your body’s immune system. 

    Biologic agents are genetically engineered drugs. This means that human genes that normally guide the production of these natural human immune proteins, ie. an antibody to tumour necrosis factor (TNF), are used in non-human cell cultures to produce large amounts of a biologic drug. These drugs are given to lessen inflammation by interfering with biologic substances that cause or worsen inflammation. These new biologic agents can specifically affect some of the abnormalities of the immune system that lead to joint inflammation and other abnormalities seen in rheumatoid arthritis, and so help treat its symptoms.

    In patients who do not achieve adequate disease control with methotrexate alone the current treatment strategy would be to combine methotrexate with a biologic agent. Currently, there are nine biologic agents licensed for the treatment of inflammatory arthritis, and more in development. The exact optimum drug regime is still unclear and many financial issues surrounding these medications exist in many countries. 

    In Ireland, the prescribing of a biologic agent is based on clinical need as per the rheumatologist, while in the UK the prescribing of a biologic agent is decided by the NICE guidelines. In the past 15 years we have seen the development of anti-IL1 therapies, anti-TNF therapies, β-cell therapies and T-cell therapies. These agents have two modes of administration in the form of intravenous infusions and self-administered subcutaneous injections. They have revolutionised the management of inflammatory arthritis such that we are now seeing a fall in morbidity and mortality associated with inflammatory arthritis. 

    Janus kinase (JAK) inhibitors

    We are now entering the era of oral biological targeted medications and the first such biologic therapy in inflammatory arthritis are JAK inhibitors. This class of therapies function by inhibiting the effect of one or more of the Janus kinase family of enzymes (JAK1, JAK2, JAK3, TYK2) interfering with the JAK-STAT signalling pathway. Pfizer is conducting clinical trials involving a JAK inhibitor for the treatment of inflammatory arthritis. 

    Inflammatory arthritis referral form

    As our understanding and management of rheumatological conditions has developed through the years we have adapted accordingly. 

    The number of referrals to consultant rheumatologists has risen and thus we have seen a rise in the number of consultant rheumatologist posts in Ireland. In the aim to prioritise specific conditions, rheumatologists have developed triage systems. One such system is the nationally adopted Irish Society for Rheumatology (ISR) Inflammatory Arthritis Referral Form, which is available on its website (www.isr.ie). 

    Osteoporosis

    The area of osteoporosis has received much attention in the past 10 years, with a growing understanding of the condition and its treatments. Osteoporosis, coming from the Greek translation meaning ‘porous bones’, is a disease of bone that leads to an increased risk of fractures.1

    In osteoporosis, the bone mineral density (BMD) is reduced, bone microarchitecture deteriorates, and the amount and variety of proteins in bone are altered. Osteoporosis is defined by the WHO as a bone mineral density that is 2.5 standard deviations or more below the mean peak bone mass (average of young, healthy adults) as measured by DXA imaging; the term ‘established osteoporosis’ includes the presence of a fragility fracture.2

    Bisphosphonate therapy

    One of the treatments in the management of osteoporosis, which has changed in the last 15 years, is bisphosphonate therapy. Bisphosphonates were developed in the 19th century but were first investigated in the 1960s for use in disorders of bone metabolism. 

    Their non-medical use was to soften water in irrigation systems used in orange groves. The initial rationale for their use in humans was their potential in preventing the dissolution of hydroxylapatite, the principal bone mineral, thus arresting bone loss. Only in the 1990s was their actual mechanism of action demonstrated with the initial launch of alendronate (Fosamax) by Merck. Now we have multiple bisphosphonates available in many different modes of administration, eg. oral or intravenous infusion. These include:

    • Once-weekly regimes, eg. alendronate and risedronate
    • Once-monthly regimes, eg. ibandronic acid
    • Once-yearly regimes, eg. zoledronate. 
    • PTH therapy

    Parathyroid hormone (PTH) is an 84-amino acid polypeptide secreted by the parathyroid glands in response to relatively small changes in serum calcium. This has emerged as a significant therapy in dealing with fragility fracture in osteoporosis over the past few years. PTH is one of the two major hormones modulating calcium and phosphate homeostasis, the other being calcitriol (1,25-dihydroxyvitamin D). 

    With respect to calcium, PTH is most responsible for maintaining serum ionised calcium concentrations within a narrow range, through its actions to stimulate renal tubular calcium resorption and bone resorption. 

    Chronic exposure to high serum PTH concentrations (as seen with primary or secondary hyperparathyroidism) results in bone resorption. Given this observation, exogenous parathyroid hormone (PTH) would seem to be an unlikely candidate for the treatment of osteoporosis. However, intermittent administration of recombinant human PTH (both full-length 1-84 or fragment 1-34) has been shown to stimulate bone formation more than resorption, at least over the first 12 to 18 months of treatment. It is on the basis of this that PTH therapy is now being used in the treatment of fragility fractures.

    To maintain the benefit of PTH therapy in terms of reducing the risk of fractures it is important that patients should be commenced on an anti-resorptive agent following completion of PTH therapy. Of importance, anti-resorptive agents should not be given concurrently with PTH therapy as they blunt the effect of PTH therapy.

    Monoclonal antibodies

    Denosumab is the first fully human monoclonal antibody for the treatment of osteoporosis.3 This treatment of osteoporosis has heralded the beginning of the ‘biologic treatment era’ of osteoporosis. Denosumab is designed to target RANK Ligand (RANKL), a protein that acts as the primary signal for bone removal. It has been shown that in postmenopausal women there is an excess of RANKL and thus this is the mechanism of action of denosumab in postmenopausal osteoporosis. 

    Paget’s disease

    Sir James Paget described Paget’s disease of bone in 1877. He first suggested the disease was due to an inflammatory process. New evidence suggests he may have been correct and that a paramyxovirus infection is the underlying cause of Paget’s disease. However, no infectious virus has yet been isolated as a causative agent and other evidence suggests an intrinsic hyper-responsive reaction to vitamin D and RANKL is the cause. Research in to this area is ongoing. 

    Once-off treatment

    Regarding treatment, there has been growing evidence to show that a once-off treatment with intravenous zolendronic acid is as effective as regular bisphosphonates orally. This is now seen as the treatment of choice for Paget’s disease of the bone by most rheumatologists.

    Gout

    The word ‘gout’ was initially used by Randolphus of Bocking around 1200 AD. Historically, it has been referred to as ‘the king of diseases and the disease of kings’ or ‘the rich man’s disease’. 

    The first documentation of the disease is from Egypt in 2,600 BC in a description of arthritis of the big toe. The Greek physician Hippocrates, around 400 BC, commented on it in his Aphorisms, noting its absence in eunuchs and premenopausal women, while in 30 AD Aulus Comelius Celsus described the linkage with alcohol, later onset in women, and associated kidney problems. 

    It was the Dutch scientist Antonie van Leeuwenhoek who first described the microscopic appearance of urate crystals in 1679, and it was not until 1848 that the English physician Alfred Baring Garrod realised this excess uric acid in the blood was the cause of gout.

    Currently, gout affects around 1-2% of the Western population at some point in their lifetimes, and is becoming more common. Rates of gout have approximately doubled between 1990 and 2010. This rise is believed to be due to increasing life expectancy, changes in diet and an increase in diseases associated with gout, such as metabolic syndrome and high blood pressure. 

    Xanthine oxidase inhibitors

    One of the best-known treatments in the management of gout has been allopurinol. It is a purine analogue, which has been marketed in the US since 1966. In 2008 febuxostat received marketing approval by the European Medicines Agency and was approved by the US Food and Drug Administration in 2009. 

    Febuxostat is a potent xanthine oxidase inhibitor that differs from allopurinol in that it is of another chemical class and is a selective inhibitor of enzyme activity. It is a thiazolecarboxylic acid derivative that, unlike allopurinol, is not a purine base analogue. It works by non-competitively blocking the molybdenum-pterin centre, which is the active site on xanthine oxidase. 

    Xanthine oxidase is needed to successively oxidise both hypoxanthine and xanthine to uric acid. Hence, febuxostat inhibits xanthine oxidase, therefore reducing production of uric acid. Febuxostat inhibits both, oxidised as well as reduced form of xanthine oxidase because of which febuxostat cannot be easily displaced from the molybdenum pterin site. 

    For treatment of hyperuricaemia in patients with gout, febuxostat is recommended at 40mg or 80mg once daily. No dose adjustment is necessary when administering febuxostat in patients with mild-to-moderate renal and hepatic impairment. An increase in dose to 80mg daily is suggested for patients whose serum urate level does not fall to < 6mg/dL (< 357micromol/L) after two weeks of treatment on the lower (40mg daily) dose.

    Uricase (urate oxidase)

    Currently in the US, the therapy uricase is licensed. Unfortunately, this is still not licensed in Ireland, but may be in the near future. Uricase (urate oxidase) is a homotetrameric enzyme. It contains four identical active sites situated at the interfaces between its four subunits and catalyses the conversion of urate to a more soluble purine degradation product, allantoin. 

    Uricase is present in most mammals, but is absent in humans and some primate species due to mutational inactivation of the uricase gene. Urate-lowering therapy for gout with uricase is aimed at supplying the absent enzyme activity safely and for long enough to promote depletion of body urate pools. This results in clinical benefits such as gout flare reduction and tophus resolution.

    Vasculitis 

    The vasculitides are defined by the presence of inflammatory leukocytes in vessel walls with reactive damage to mural structures. Loss of vessel integrity may lead to bleeding. In addition you may get compromise of the lumen leading to tissue ischaemia. 

    As a general rule, affected vessels vary in size, type and location in association with the specific vascular disorder. These conditions can often be serious and even fatal. 

    Oral versus intravenous cyclophosphamide for ANCA-associated vasculitis

    The original randomised trial of daily oral versus pulse intravenous cyclophosphamide therapy for antineutrophil cytoplasmic antibody (ANCA)-associated systemic vasculitis (CYCLOPS) study found similar remission rates in patients with granulomatosis with polyangiitis or microscopic polyangiitis. Intravenous therapy led to a significantly lower cumulative dose and to less leucopenia.4

    In long-term follow-up (median 4.3 years) of this trial, more patients in the intravenous pulse group had at least one relapse (40% versus 21%) and had a greater total number of relapses (54 versus 21 relapses).5 Despite the higher relapse rate, there was no difference between the two groups in the number of deaths, in the incidence of end-stage renal disease, or in the median serum creatinine.

    Rituximab versus cyclophosphamide for ANCA-associated vasculitis

    Cyclophosphamide and glucocorticoids have been the cornerstone of remission-induction therapy for severe ANCA-associated vasculitis for 40 years. The landscape of this thinking has changed following the works of Stone JH et al, which was published in 2010 by The New England Journal of Medicine.6

    This pivotal work in nine centres enrolled 197 ANCA-positive patients with either Wegener’s granulomatosis or microscopic polyangiitis. It randomised them in to two treatment groups:

    • Rituximab-based treatment
    • Cyclophosphamide-based treatment. 

    The rituximab-based regimen was more efficacious than the cyclophosphamide-based regimen for inducing remission of relapsing disease. Some 34 of 51 patients in the rituximab group (67%) as compared with 21 of 50 patients in the control group (42%) reached the primary end point (p = 0.01). 

    Rituximab was also as effective as cyclophosphamide in the treatment of patients with major renal disease or alveolar haemorrhage. Importantly, there were no significant differences between the treatment groups with respect to rates of adverse events. Thus Stone JH et al have confirmed that rituximab therapy is not inferior to daily cyclophosphamide treatment for induction of remission in severe ANCA-associated vasculitis; and may be superior in relapsing disease.

    Systemic lupus erythematosus

    Systemic lupus erythematosus (SLE) is a chronic, occasionally life-threatening, multisystem disorder. Patients suffer from a wide range of symptoms and have a variable prognosis depending on the organ involved and the severity of that involvement. The pathogenesis is complex, however, it can be summarised by stating that target tissue damage is caused primarily by pathogenic autoantibodies and immune complexes.

    Rituximab in proliferative lupus nephritis

    The effect of rituximab therapy combined with glucocorticoids and mycophenolate mofetil (MMF) for induction therapy in proliferative lupus nephritis was evaluated in the LUpus Nephritis Assessment with Rituximab (LUNAR) study.7

    Patients with class III or class IV lupus nephritis were randomly assigned to receive four intravenous infusions of placebo or one gram of rituximab at baseline, two weeks, 24 weeks and 26 weeks. All patients also received MMF and glucocorticoids. 

    The incidence of complete or partial remission at one year was higher with rituximab as compared with placebo (57% versus 46%), but this difference was not statistically significant. 

    Rituximab produced greater reductions in anti-DNA titers and larger improvements in complement levels. These data do not support the use of rituximab in addition to MMF and glucocorticoids for initial induction of remission in proliferative lupus nephritis.

    Mycophenolate mofetil versus azathioprine for lupus nephritis 

    The ALMS Maintenance Trial was a multinational study in which 227 patients who had achieved remission with either MMF or cyclophosphamide were randomly assigned to MMF (1g twice daily) or azathioprine (2mg/kg per day) as maintenance therapy for 36 months.

    Among patients who responded to induction therapy with either MMF or cyclophosphamide, treatment failure at 36 months (defined by renal relapse, the need to intensify therapy, doubling of the serum creatinine, or death) was significantly lower with MMF compared with azathioprine groups.8

    Fibromyalgia

    In 1990, the American College of Rheumatology (ACR) criteria for fibromyalgia were published.9 They defined fibromyalgia as being present in patients who had ‘widespread pain’ and tenderness at 11 of 18 tender points. These criteria have come under much criticism over the years, but remain at the corner stone of the diagnosis of fibromyalgia. 

    Through the implementation of these criteria we have seen that fibromyalgia is diagnosed more frequently in women and that the prevalence of fibromyalgia in the adult population is generally similar across the world. The aetiology and exact pathophysiology of fibromyalgia remain unconfirmed. 

    Cognitive-behavioural therapy

    In a randomised trial of patients with chronic widespread pain, symptom improvement at six months was reported in:

    • 8% of patients assigned to usual care
    • 35% assigned to cognitive behavioural therapy (CBT) delivered via phone
    • 37% assigned to a combination of telephone CBT and exercise.10

    This remains under investigation.

    Osteoarthritis

    Osteoarthritis (OA) is a degenerative joint disease that occurs primarily in older individuals. It is characterised by erosion of the articular cartilage, hypertrophy of bone at the margins, ie. osteophytes, subchondral sclerosis, and a range of biochemical and morphological alterations of the synovial membrane and joint capsule. 

    Although the aetiology of OA is incompletely understood, the accompanying biochemical, structural and metabolic changes in joint cartilage have been well documented. It is now known that cytokines, mechanical trauma and altered genetics are involved in its pathogenesis. These factors can initiate a degradative cascade that results in many of the characteristic alterations of articular cartilage in OA.

    Symptomatic OA

    The prevalence of symptomatic osteoarthritis (OA) of the knee has been shown to be increasing. This was evaluated among patients with radiographic OA in a study involving approximately 700 to 1,100 patients from the Framingham Osteoarthritis Study cohort at each of three time periods. The rate approximately doubled in women and nearly tripled in men, over a period of 20 years, after adjustment for both age and body mass index.11

    Knee pain and obesity also increased over the same interval in this cohort and in national US survey data. However, increased obesity only explained a portion of the change (about 10-25%), and the prevalence of radiographic knee OA did not increase during this interval. The precise factors responsible for these increases in symptom prevalence and an increased rate of knee joint replacement surgery during this period are uncertain and remain under investigation.

    References

    1. Brian K Alldredge; Koda-Kimble, Mary Anne; Young, Lloyd Y.; Wayne A Kradjan; B. Joseph Guglielmo (2009). Applied therapeutics: the clinical use of drugs. Philadelphia: Wolters Kluwer Health/Lippincott Williams & Wilkins. pp. 101-3.
    2. WHO (1994). “Assessment of fracture risk and its application to screening for postmenopausal osteoporosis. Report of a WHO Study Group”. World Health Organization technical report series 843: 1–129.
    3. McClung, Michael R.; Lewiecki, E. Michael; Cohen, Stanley B.; Bolognese, Michael A.; Woodson, Grattan C.; Moffett, Alfred H.; Peacock, Munro; Miller, Paul D. et al. (2006). “Denosumab in Postmenopausal Women with Low Bone Mineral Density”. New England Journal of Medicine 354 (8): 821–31.
    4. de Groot K, Harper L, Jayne DR, et al. Pulse versus daily oral cyclophosphamide for induction of remission in anti-neutrophil cytoplasmic antibody-associated vasculitis: a randomized trial. Ann Intern Med 2009;150:670
    5. Harper L, Morgan MD, Walsh M, et al. Pulse versus daily cyclophosphamide for induction of remission in ANCA-associated vasculitis: long-term follow-up. Ann Rheum Dis 2012;71:955
    6. Stone JH, Merkel PA, Spiera R, et al. Rituximab versus Cyclophosphamide for ANCA-Associated Vasculitis. N Engl J Med 2010; 363:221-232
    7. Rovin BH, Furie R, Latinis K, et al. Efficacy and safety of Rituximab in patients with active proliferative lupus nephritis: the Lupus Nephritis Assessment with Rituximab study. Arthritis Rheum 2012;64:1215
    8. Dooley MA, Jayne D, Ginzler EM, et al. Mycophenolate versus azathioprine as maintenance therapy for lupus nephritis. New England Journal of Medicine 2011;365:1886
    9. Wolfe F, Smythe HA, Yunus MB, et al. The Americian College of Rheumatology 1990 Criteria for the Classification of Fibromyalgia: Report of the Multicenter Criteria Committee. Arthritis Rheum 1990;33:160-172
    10. McBeth J, Prescott G, Scotland G, et al. Cognitive behavior therapy, exercise, or both for the treating chronic widespread pain. Arch Intern Med 2012;172:48
    11. Nguyen US, Zhang Y, Zhu Y, et al. Increasing prevalence of knee pain and symptomatic knee osteoarthritis: survey and cohort data. Ann Intern Med 2011; 155:725
    © Medmedia Publications/Hospital Doctor of Ireland 2012