RESPIRATORY
An unusual case of haemoptysis in an intravenous drug user
This case highlights the need for clinicians to be aware of more uncommon potential complications of foreign body aspiration in intravenous drug users
January 3, 2017
-
Heroin use has been associated with multiple pulmonary complications, including foreign body aspiration. We report a case of an intravenous drug user with unintentional aspiration of a hypodermic needle into his left main bronchus.
Case
A 40-year-old man presented to the emergency department with a two-day history of frank, low volume haemoptysis.
His background medical history was significant for intravenous drug use and a below knee deep venous thrombosis diagnosed three years previously. He was a heavy cigarette smoker and current medications included methadone 35mg once daily.
Physical examination, baseline haemoglobin and chest x-ray were normal.
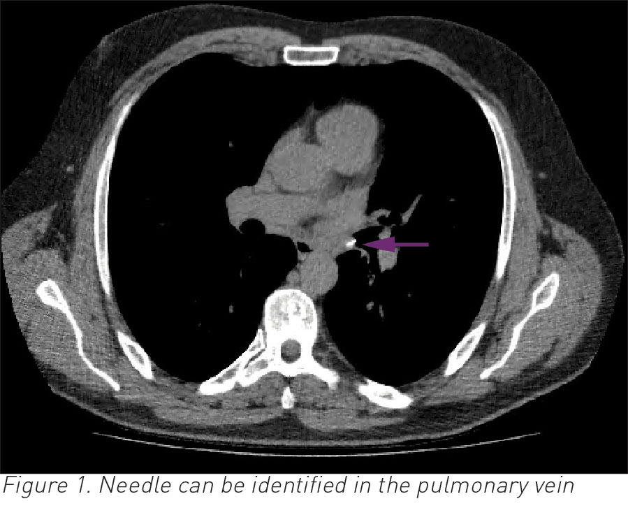
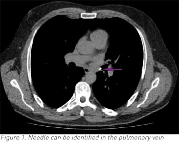
A CT thorax was performed to further evaluate for cause of haemoptysis. Imaging showed a needle in the left main bronchus entering the main pulmonary vein (see Figures 1 and 2).
(click to enlarge)
