Primary ovarian ectopic pregnancy
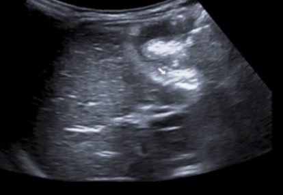
Primary ovarian ectopic pregnancy is one of the rarest forms of ectopic pregnancy. Its incidence after natural conception ranges from one in 2,000 to one in 60,000 deliveries and accounts for 3% of all ectopic pregnancies.1 It is estimated that ovarian pregnancy occurs in one in 25,000-40,000 pregnancies.2 It...
Read more




