CHILD HEALTH

Perforated appendicitis with faecolith in an infant

A case of a seven-month-old infant with perforated appendicitis with faecolith

Dr Naeem Shori, Associate Paediatric Specialist, Wexford General Hospital, Wexford, Prof Muhammad Azam, Clinical Associate Professor of Paediatrics, University College Dublin, Dublin and Dr Hafiz Kiqa Ur Rehman, Paediatric Registrar, Portiuncula University Hospital, Galway

October 1, 2018

Article
Similar articles
  • A seven-month-old, previously well, Caucasian male infant presented in the emergency department with one-day history of runny nose, vomiting, decrease oral intake and low grade fever. He was discharged after a short stay with suspected gastroenteritis. 

    He presented again with irritability, decreased urine output, pyrexia, loose stools and bilious vomiting. There was no significant past medical and surgical history of note. On examination, he looked pale, diffusely mottled and had prolonged capillary refill time of three seconds. There was nonspecific blanching, macular rash on his abdomen, he was haemodynamically stable, and his abdomen was mildly distended and tender to touch on the right side with hypoactive bowel sounds. The clinical impression was sepsis or intussusception.

    Blood gas was normal. Septic workup, including full blood count, liver functions and electrolytes, was normal. 

    X-ray abdomen showed centrally situated, dilated, air filled small bowel loops. There were visible areas of calcification in RIF on plain film with provisional diagnosis of faecolith, confirmed later by ultrasound and laparoscopy.

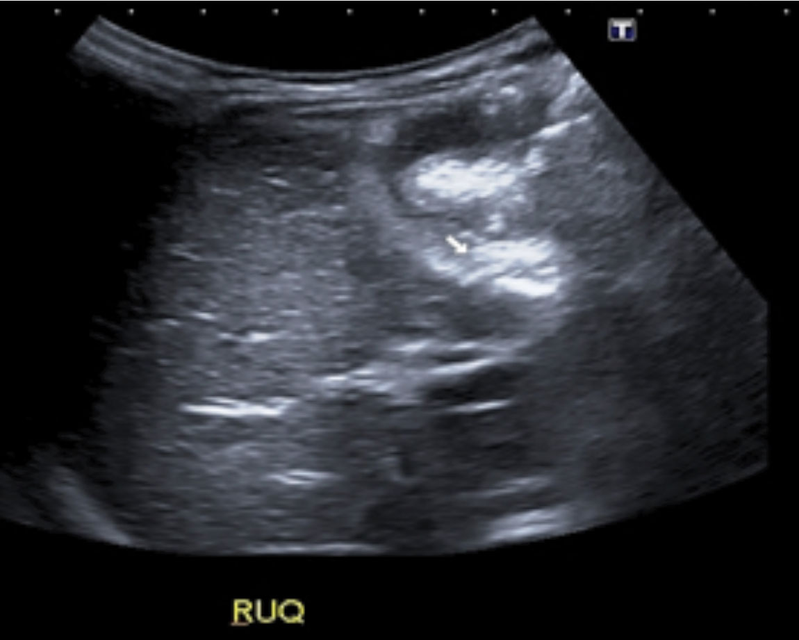
    US abdomen showed free fluid in the hepatorenal recess. A thick-walled oedematous tubular structure consistent with an inflamed appendix was observed in right flank anterior to the mid pole of the right kidney. This tubular structure appeared to be continuous with a tubular structure immediately inferior to it that contained at least four calcified densities. Therefore, diagnosis of perforated appendicitis with multiple faecolith was made.

    The infant was resuscitated with IV fluids and broad spectrum antibiotics, was kept NPO with NG free drainage and was later transferred to the paediatric tertiary level facility for further management. He underwent an emergency laparotomy. The intraoperative finding confirmed perforated appendix with multiple faecoliths. The patient had an uneventful, but slow recovery during convalescence.

     (click to enlarge)

     (click to enlarge)

    Discussion

    Acute appendicitis is a rare surgical entity in infants. Its clinical presentation is usually ambiguous in infants, which leads to its delayed diagnosis and severe, life threatening  complications. It mimics common illnesses such as viral gastroenteritis, sepsis and intussusception. 

    Acute appendicitis is an acute inflammation and infection of the vermiform appendix. Once obstructed due to any reason, proliferation of bacteria trapped within the appendiceal lumen, combined with ischaemia produce inflammation which progresses to necrosis, gangrene and perforation within 72 hours.1,2 Appendicolith is a faecal impaction in lumen of appendix and accounts for 33% of cases of appendicitis.3 In other studies, it has been reported at about 28%.4

    The incidence of acute appendicitis between birth and four years of age is one to two cases per 10,000 children per year, with a male to female ratio of 2:1.1 The decreased rate of this disease particularly in this age group could be because of wider based appendix which causes less luminal obstruction,5 soft liquid diet and less infections, inflammation of the peri appendiceal lymphoid tissue.6

     Anorexia and vague per umbilical pain, followed by migration of pain to the right lower quadrant (RLQ) and onset of fever and vomiting, is a classical presentation of acute appendicitis in adults. However, children show deviation from this classical picture, that is: delay in appreciable pain leading to its delayed  presentation, being a febrile or low grade fever, and more frequent vomiting.7 Classical symptoms of perforation in neonates include signs of sepsis, feeding  intolerance, frequent bilious vomiting, tachycardia with high grade fever. Abdominal distension is the most common finding in such cases.8,9 Main x-ray features of acute appendicitis include convex lumbar scoliosis, obliteration of the right Psoas margin, right lower quadrant (RLQ) air-fluid levels, air in the appendix, and localised ileus. In rare incidents, a perforated appendix may produce pneumoperitoneum.1 X-ray features of faecolith are presence of calcified appendiceal mass. These children are three times more likely to present with perforation compared to adults.2,10,11 The mortality is reported between 7-9%.4,12

    Conclusion

    Appendicitis in infants is rare and can have a variable course. Perforation is common because of its delayed presentation and appendicolith. Basic imaging modalities such as x-ray and ultrasound should be considered with high index of suspicion in all sick children.

    References

    1. Rothrock SG, Pagane J. Acute appendicitis in children: emergency department diagnosis and management. Ann Emerg Med 2000 Jul; 36(1):39-51
    2. Mirza B. Perforated appendicitis presenting as small bowel obstruction in an infant. APSP J Case report 2011 Sept; 2 (3);21
    3. Wilkinson RH, Bartlett R, Eraklis AJ. Diagnosis of appendicitis in infancy: the value of abdominal radiograph. Am J Dis Child 1969; 118:687-690
    4. Grossfield JJ, Wernberger M, Clatworthy HW Jr. Acute appendicitis in the first two years of life. J Pediatr Surg 1973 Apr; 8(2):285-293
    5. Ko YS, Lin LH, Huang CS. Perforated appendicitis in a 4 month old infant. Zhonghua Min Guo Xiao Er Ke Yi Xue Hui X Za Zhi. 1996 Jul-Aug; 37(4): 283-285
    6. Karman A, Cavusoglu YH, Karaman I, Cakmak O. Seven cases of neonatal appendicitis with a review of the English literature of last century. Pediatr Surg Int 2003 Dec; 19(11):707-9. Epub 2003 Dec 19
    7.  Becker T, Kharbanda A, Bachur R. Atypical clinical features of pediatric appendicitis. Acad Emerg Med 2007 Feb;14(2):124-9
    8.  Khan YA, Zia K, Saddal NS. Perforated neonatal appendicitis with pneumoperitoneum. APSP J Case Rep. 2013 May 27; 4(2):21. eCollection 2013
    9. Arias-Llorente RP, Florez-Diez P, Oviedo-Gutierrez M et al. Acute neonatal appendicitis: A diagnosis to consider in abdominal sepsis. J Neonatal Perinatal Med 2014 Jan 1; 7(3): 241-6
    10. van Heurn LW, Parkkinen MP, Wester T. Contemporary management of abdominal surgical emergencies in infants and children. Br J Surg 2014 Jan; 101(1):e24-33
    11. Narsule CK, Kahle EJ, Kim DS, Anderson AC, Luks FI. Effect of delay in presentation on rate of perforation in children with appendicitis. Am J Emerg Med 2011 Oct; 29(8):890-893
    12.  Fileld JA, Colen M. Acute appendicitis in infants 36 month of age or younger. Am J Surg 1967; 113(2): 269-275
    © Medmedia Publications/Hospital Doctor of Ireland 2018