NEPHROLOGY
PAIN
SURGERY
Aorto-caval fistula: haematuria and acute renal impairment
A case of aorto-caval fistula with haematuria and acute renal impairment
November 1, 2013
-
Haematuria and acute renal failure are two well recognised clinical features of aortic aneurysm complicated by aorto-caval fistula (ACF). ACF is a rare condition complicating around 3% of ruptured aortic aneurysms.1 It is difficult to diagnose if clinical suspicion is low. Interestingly enough, it is much more common in men in their 60s.2,3
There is no doubt that it is a fatal complication of abdominal aortic aneurysm with a high mortality rate ranging from 21-66.7%.4 In this case report, the authors present an 84-year-old with ACF from a small hospital in the west of Ireland.
Case report
The patient self-presented to the emergency department with a six-day history of acute onset of dull back pain and three-day history of gross haematuria.
Otherwise, he is a healthy man with no known past medical or surgical history and this being the first admission into hospital. The pain was described to be of a sudden onset, dull in nature and localised to the right flank. He reports no other urinary symptoms, no history of recent trauma, no loss of appetite or weight and no altered bowel habit.
Of note, his social history includes a 79-pack-year smoking history since age 14 and is a social drinker. On examination, his vital signs were: blood pressure 90/40mmHg, heart rate 62/min and respiratory rate 22/min. Clinical examination reviewed a persistently low blood pressure. No abdominal masses were found and his chest was clear.
His blood investigation showed raised urea (29.30mmol/L) and creatinine (330umol/L) indicating acute renal impairment. Haemoglobin was low at 9.7g/dL, WCC raised at 18.5 and a neutrophil count of 16.3 indicating a likely infection. A three-way urinary catheter was inserted for irrigation and more than half a litre of dark red urine and blood clots drained immediately.
This then raised the suspicion of obstructing renal or ureteric calculi but an urgent plain x-ray of the abdomen did not show any evidence of stones in the urinary tract.
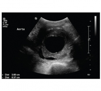
Despite vigorous fluid resuscitation and irrigation, the gross haematuria persisted and his blood pressure remained low. An urgent ultrasound of the abdomen was done the following day. A massive aortic aneurysm measuring 6.5cm in diameter (see Figure 1) was revealed. There was also some fluid collection in the abdomen indicating that there was a possibility that it was a rupturing aortic aneurysm.
Figure 1. Abdominal ultrasound scan showing an aortic aneurysm measuring 6.5cm in diameter(click to enlarge)
